views

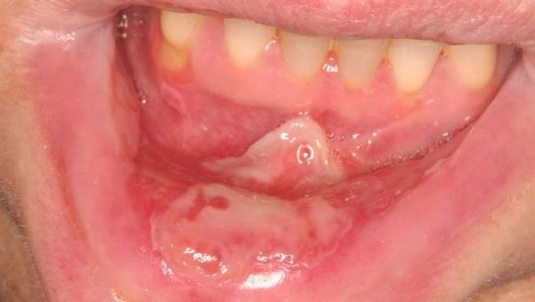
Mucositis is an acute event that mostly self-resolves as the anticancer treatment ends. High dose chemo and radiotherapy to the head and neck region (for example, to treat head and neck cancer and lymphoma) are the major risk factors for the development of oral mucositis. Thus, with the increasing prevalence of head and neck cancer, the incidence of Severe Oral Mucositis is also increasing, especially in the U.S. According to the American Society of Clinical Oncology, in 2021, around 66,630 individuals (48,740 men and 17,890 women) in the U.S. are expected to develop head and neck cancer.
U.S. Severe Oral Mucositis impairs the patient's quality of life and also can be life-threatening because severe infections and delayed or incomplete anticancer treatments may result. One may not stop mucositis from occurring, but few steps can be followed before beginning cancer treatment to help alleviate its side effects and symptoms.
Read More@ https://bit.ly/3BuOoLn