views

One of the most classic periodontal treatment options
The classical Periodontal treatment protocol is generally divided into 4 stages:
1.Initial phase (or cleaning phase)
2.Assessment phase
3.Surgical phase
4.Maintenance phase
As periodontitis usually occurs in the context of untreated periodontal disease, it is essential to carry out periodontal treatment of the whole mouth prior to oral implant placement or treatment of periodontitis.
In the initial phase of treatment, a non-surgical approach is usually used. The patient's oral hygiene is effectively controlled and dental calculus and plaque are removed by subgingival scraping and ultrasonic scaling.
This is followed by the use of the S3 dental diode diode laser with a 980nm wavelength, set at 2.5W and a 50Hz pulsed output. The laser fibre tip is extended into the periodontal pocket and slides along the implant surface while emitting the laser. Frequent visual checks are required to check that the fiber tip is not contaminated with coagulated tissue debris and that it is removed promptly by means of a wet cotton ball. This has the advantage of preventing excessive tissue temperature due to the absorption of laser energy by the optical fibre tip.
During each treatment session, three 30-second laser sterilisation exposures are performed for each implant. During these 30 seconds, the laser can be fired for 2-3 seconds and then paused for 2-3 seconds, for a cumulative laser exposure time of 30 seconds. This is done in order to strictly control the excessive temperature of the tissue. As the pigments carried by the bacteria are strongly absorbed by the semiconductor laser, the inflamed cells are destroyed and broken down. However, the surrounding normal tissues are not affected by the high temperature and the 650nm biostimulating effect of the laser is carried out, achieving a twofold effect.
In the following week, the laser sterilisation treatment is repeated two more times. If there is still no significant improvement after the third laser treatment, it is time to consider preparing for the surgical phase. If clinical improvement is evident, the patient can return in 6-8 weeks for the evaluation phase. The goal of the initial phase is to reduce the inflamed tissue as much as possible. The advantage of the dental laser in this phase is the dual effect of sterilisation thoroughness and biostimulation.
During the evaluation phase, the hygiene of the periodontium and the recovery of the gums after the initial phase of treatment need to be assessed. Only if the patient's condition has effectively improved should he/she proceed to the maintenance phase, and if bleeding gums and purulent fluid are still present, preparation for the surgical phase should be considered.
It is important to note that although many patients with peri-implantitis are already severe enough to require surgical intervention at the time of consultation, it is still important to start with the initial phase of treatment, and laser therapy is a more effective method than conventional treatment.
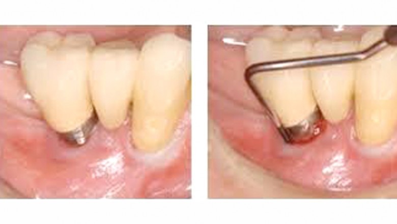
The aim of the surgical phase is to gain access to the entire surface area of the implant. This allows for the complete removal of the stones and the application of laser sterilisation. The surgical intervention is aimed at patients who have had little success in the initial phase of treatment. The entire implant surface is exposed through an internal flap. The granulation tissue around the implant is carefully removed and if stones are seen adhering to the implant surface, they can be removed by ultrasound or erbium laser. Subsequently, the remaining material on the implant surface is sterilised by laser irradiation. A power of 2 W is irradiated in continuous mode for 10 seconds, moving the fibre tip quickly to avoid excessive temperatures on the implant surface.
The maintenance phase is designed to maintain the effect of the treatment over a relatively longer period of time. The examination depends on the length of the follow-up interval. If there are slight signs of inflammation recurring around the implant, the diode laser can be used again for sterilisation and biostimulation.