views

Management of Unerupted Lateral Incisor by LASER Assisted Surgical Exposure
Introduction- Maxillary incisors are aesthetically important, parents often notices it first and are troubled (1,2). The children are bullied or teased due to delayed eruption resulting in psychological complications. It is necessary to bring the unerupted incisor into its correct position with proper monitoring and timely surgical orthodontic intervention so as no prosthetic solution is required as nothing is better than tooth itself. LASER have its advantages over conventional scalpel for the surgical exposure of the unerupted incisors.
Diagnosis of unerupted incisors-
A) Clinical evaluation-
1) Firstly patient’s chronological age and dental age should be examined to determine if there is delayed eruption or not.
2) The amount of space available for the eruption of tooth, space loss, midline shift, position of the adjacent teeth, and contour of the bone should be examined
3) Palpation of the labial bulge on the mucosa if visible and if not visible then evaluation by radiograph
4) The distance from the mucogingival junction - An adequate amount of keratinized gingival tissue that is under proper plaque control, is a fundamental requirement for periodontal health. Labially or buccally erupting teeth show reduced dimensions of gingiva as abnormal eruption of permanent teeth restricts or eliminates the keratinized tissue between the erupting cusp and the deciduous tooth. A lack of attached gingiva (keratinized gingiva) poses a potential risk for gingival recession in labially or buccally erupted teeth due to the possibility of accumulation of plaque and/or traumatic tooth-brushing.
B) Radiographic evaluation- The accurate location of the unerupted lateral incisor by the conventional two - dimensional radiographs is done. For the exact estimation of buccolingual position a second periodical film is obtained by using a) Clark’s rule b) Buccal-object rule. CBCT (Cone Beam Computed Tomography) can be used to avoid multiple exposure and to know the accurate position of the tooth.
1) Firstly determine the presence of lateral incisors and if bone is present on the erupting tooth buds
2) The amount of root formed
In this case the patient’s chronological age was 9 years suggesting of delayed eruption of lateral incisor. Palpation of the painless incompressible labial fibromucosal protuberance or bulge is done to locate the crown. It is supported by the intraoral periapical radiograph. No bone is seen on the crown of the unerupted lateral incisor. The location and size of window to be made during surgical exposure is determined to be 1mm below the mucogingival junction.
Treatment- Pioon S1 blue dental LASER of 450 nm wavelength was used for the surgical exposure of lateral incisor.
This consist of following steps:
1) Isolation of area followed by application of topical anaesthetic agent.
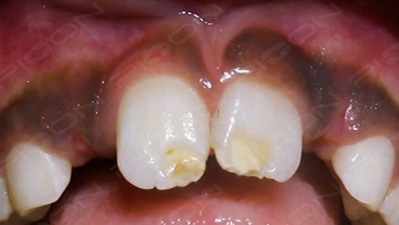
2) Marking the shape, extent and site of window of exposure by making dots with LASER at lesser power settings using 400 micron tip. (Fig 1)
3) Removal of the tissue at higher power setting with 400 micron tip in non-contact mode.
The complete safety protocols were followed for the patient, operating and assistant staff like using laser protective eye glasses and use of high vacuum suction. Highly reflective instruments were avoided while using lasers. (Fig 2)
Rationale for the use of LASER- LASER assisted surgical procedure has various advantages. Incision performance, hemostasis, reduced pre and post-operative oedema and pain hence the accelerated wound healing and reduced healing time resulting in less discomfort and reduced need of analgesics.
In paediatric patient behavioural guidance of children in the operative and perioperative period is a special challenge. Use of topical anaesthetic agent, no scalpel and less blood results in better cooperation from the children. It also aids in patient homecare and allows for better bracket repositioning and final detailing.
Conclusion - When unerupted tooth is not deeply placed, surgical exposure with Pioon LASER at 450 nm allows conservation of attached gingiva, no injection, less bleeding during surgery, less use of analgesic and anti-inflammatory drugs, minimal postoperative complication and also immediate placement of orthodontic brackets so less appointments as well. Hence LASER represents indispensable modality to treat paediatric patients with ease.
References-
1)HuBer K, Suri, Taneja P. Eruption disturbances of the maxillary incisors: a literature review. J Clin Pediatr Dent 2008; 32: 221-230.
2) Pavoni C, Mucedero M, laganà G, Paoloni V, Cozza P. Impacted maxillary incisors: diagnosis and predictive measurements. Ann Stom 2012; 3: 100-105.
Fig 1 - Preoperative view (Pic Courtesy – Dr. Sana Farista)
Fig 2 - Postoperative view (Pic Courtesy – Dr. Sana Farista)