views
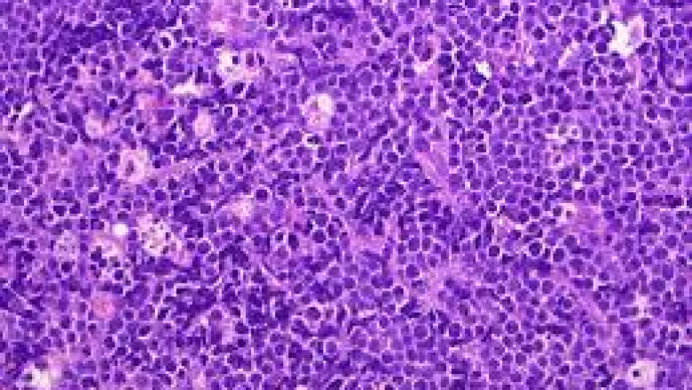
Burkitt lymphoma is a lymphatic system cancer that arises from aberrant B cells and has a fast development rate. Burkitt lymphoma produces lymph node enlargement in the spleen, liver, bone marrow, and central nervous system, among other places. Burkitt lymphoma is a form of non-Hodgkin lymphoma that is high-grade (NHL).
When children are diagnosed with lymphomas, especially with acute lymphocytic leukemia or lymphomas of the bone marrow, doctors use several treatment options, depending on the type of cancer cells detected and on the response of the patient to treatment. Other Burkitt Lymphoma Treatment may include surgery, radiation therapy, chemotherapy, immune system suppressors such as interferon-gamma, or a combination of these.
Read More@ https://bit.ly/3DROY7a
