views
Dental veneers are the most effective cosmetic dentistry treatments for chipped, crooked, or severely discolored teeth. Dental veneers are low-maintenance and provide a dramatic improvement in the looks of your teeth. Here's what you need to know if your dentist advises teeth veneers to address your cosmetic issues about your smile. This article will go through some important aspects of dental veneers involving problems veneers treat, durability, and many more. It is essential to read this article if you are considering dental veneers cost.

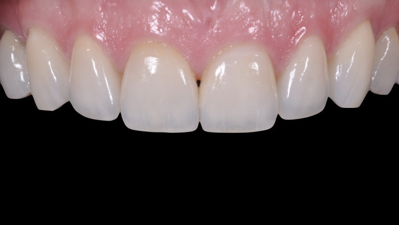
What problems do veneers fix?
Veneers can provide solutions to a variety of cosmetic issues. Veneers help reduce the gap in teeth, extend teeth that appear to be excessively short, straighten teeth, and hide chips and fissures. Veneers can also conceal severe discoloration and resist standard teeth lightening treatments. Your dentist can customize your veneers to solve any concerns you may have, resulting in a consistent and faultless appearance. Your dentist will charge the veneers teeth cost depending on how many veneers you get.
How long do veneers last?
Dental veneers can last between 10 and 30 years with proper care and maintenance. While you are free to eat nearly everything you want, you must take appropriate measures because dental veneers are not invincible. Porcelain is a type of glass that may shatter with great force. If you try to open a cap with your teeth, chew ice, or bite your fingernails, you could easily fracture the veneers. If an individual grinds their teeth at night after the placement, the dentist will recommend wearing a nightguard. For them, the nightguard would be practical and advantageous.

How are veneers placed?
Your dentist will start preparing your tooth for dental veneers by removing a tiny piece of tooth enamel for veneers placement. For this procedure, some individuals choose a local anesthetic. After removing tooth enamel, the dentist will take an impression of your teeth to act as a template for the fabrication of your veneers. When the placement of your veneers is completed, your dentist will remove a portion of your enamel surface to make them more adhesive-friendly, then glue the veneers to your tooth with a specific type of cement triggered by a curing light. Finally, any remaining adhesive is scraped away, as well as the veneers are perfectly alright for a flawless fit.
How much veneers cost?
The average cost of veneers (Porcelain) is somewhere between $900 to $2,500 per tooth. In comparison, the full mouth veneers cost of composite veneers will cost you anywhere around $250 to $1,500 per tooth.
Takeaway
Hopefully, this article was somewhere a help for you in understanding the veneers cost near me and how long veneers last. The best and most long-lasting solution will be veneered if you have stained teeth. In addition, if you have any questions concerning dental veneers, please get in touch with our experienced dentist. You can visit our website for additional information!
Article Source :- https://www.techsmarttips.com/what-problems-do-veneers-fix/
