views

Do you have a smile that makes you feel self-conscious or underconfident? Are you conscious of facing the camera? Dental veneers may be an excellent option to mask unattractive dental irregularities, including chipped, discolored, broken, or missing teeth. According to experts, dental veneers offer a variety of potential advantages, which we have mentioned below in this article. Reading this article will be a great help for you in sticking to your decision on dental veneers.
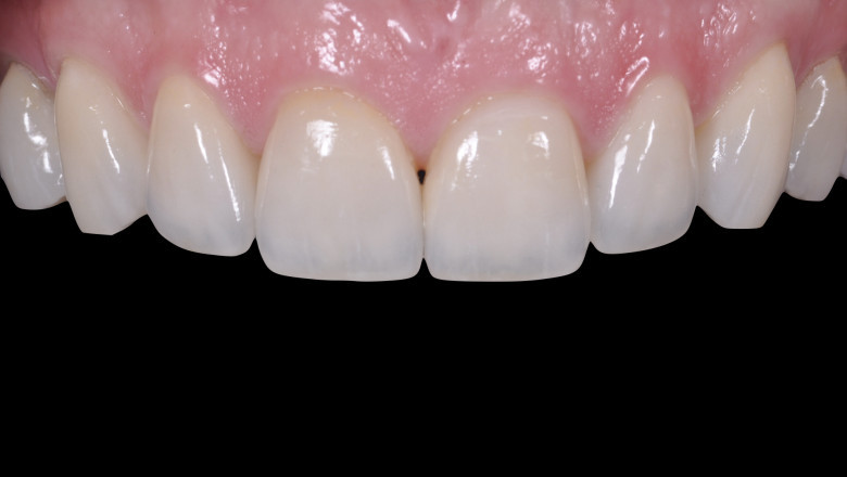
What Are Dental Veneers?
Dental veneers comprise tiny, tooth-colored veneers that cover the front surfaces of teeth to enhance their appearance. They're usually composed of porcelain or resin-composite components and permanently glued to your teeth.
How much do veneers cost?
Veneers cost Texas around $800 and $1,400 per. The cost is determined by the preparation required to prepare the veneers and the laboratory and material costs. The cost of veneers on all or most of your front teeth might range from $6,000 to $12,000.
What are the advantages of dental veneers?
Here are some advantages of dental veneers below, such:
1. Easy Cosmetic Repairing:
It is now possible to repair and hide damaged and stained teeth with dental veneers. Dental veneers are composed of ultra-thin porcelain attached to the front teeth to improve your appearance. These veneers are cosmetic treatments explicitly created for each patient to enhance the appearance of their smile. Veneers are tooth-colored like natural teeth, and they don't stain easily, giving you a flawless appearance.
2. Veneers are a Quick Cosmetic Fix.
Veneers may make people feel satisfied in seconds by restoring their gorgeous smiles. Veneers can help you with a variety of dental problems, including:
- Teeth that are chipped
- Teeth that are missing
- Broken teeth
- Crooked teeth
- Teeth that are stained or discolored
Numerous Individuals have gaps between their teeth filled with braces, but instead of enduring the agony and discomfort of braces, some people choose veneers. Rather than forcing teeth into position, veneers conceal the aesthetic flaws.
3. Permanent and Durable Solution:
Dental veneers are a long-term therapy for misaligned, stained, or discolored teeth causing tooth decay. Veneers are non-absorbent, stain-resistant, and cavity-resistant. If you have pigments on your teeth, you should get veneers as they last for 10 to 15 years.
4. Enhance Natural Appearance:
Having artificial veneers that seem like natural teeth requires several steps, involving visiting the dentist for a consultation. Your dentist will inform you that this restoration may require multiple appointments. During the initial visit, your dentist will take pictures of the teeth to send to a lab for creating the same dental veneers. It's paramount to have veneers that are the same color as your natural teeth's enamel and have the same form. You'll regain your beautiful smile after this procedure.
Takeaway!
We hope you liked this article and now have many advantages of dental veneers, which might help you make decisions. If you are one of the people searching for Porcelain Veneers Near Me or Temporary Veneers, then visit our website.
Article Source :- https://www.articleaffiliate.com/what-are-the-advantages-of-dental-veneer/