50
views
views
Root Canal Medford Oregon
Root Canal Medford Oregon
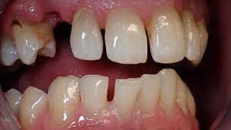
Root canal treatment is a type of endodontic therapy that is often recommended if the tooth pulp and nerves become infected or damaged. Our skilled dentist will remove the infected and injured tissues from within the tooth, clean the tooth, and fill it with a medicated material. Call Cascade Dental at 541-779-6401.
Root Canal Medford Oregon
