views
You will experience some discomfort as your teeth start to shift, regardless of the type of braces you choose. Most patients describe this discomfort as dull aching, and over-the-counter drugs can usually make it go away. According to the best orthodontists near me, Until the pain goes away, you should probably eat soft meals like yogurt, rice, and soft-boiled eggs. Braces can also hurt when brackets contact the soft tissues in your mouth.

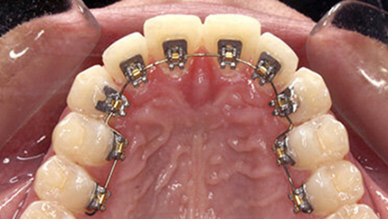
Because of where they place the brackets, the tongue frequently hurts when wearing lingual braces. Lower lingual holding arch or lingual braces can be highly uncomfortable for certain patients. As more manufacturers strive to increase patient comfort, lingual brackets become thinner and smoother. Additionally, you can alter the brackets to decrease pain and discomfort.
You might apply a small amount of wax to any sharp bracket edges to temporarily alleviate sore regions or try a topical tooth pain relief lotion. Contact your orthodontist if a wire is sticking out or hurting you. You can cut them to prevent injury from wires.
Can lingual braces cause a problem of lisping for their wearer?
Yes is a quick response. Your tongue touches the backs of your molars, producing a specific sound when you talk. Your speech may alter when you initially get lingual braces since the brackets are on the rear sides of your teeth.
While all braces have the potential to alter your speech patterns temporarily, a study discovered that lingual braces had the potential to change your speech for a month or more.
Studies have also revealed that the type of brackets your orthodontist chooses to employ may affect the degree of speech impairment.
Speech therapy methods have helped some people get rid of their lingual lisps. Your tongue will eventually adjust to the braces, and your speech should return to normal.
How to know that you are an ideal patient for lingual braces?
Consultation with your orthodontist is the only sure-fire way to determine if lingual braces Miami are ideal for you. Overall, lingual braces are just as effective at correcting alignment problems as traditional (buccal) braces.
Lingual braces met the treatment objectives that patients and clinicians had set forth, according to a specialist at lingual braces Miami. But not everyone is a good or ideal candidate for lingual braces; for instance, patients with deep overbites may frequently experience loose brackets.
Your orthodontist will check your teeth during your initial session and go over the treatment choices that are most likely to be successful for you. Talk to your orthodontist early in the procedure if you're interested in lingual braces because not all orthodontists are qualified to use them.

What are the significant advantages of lingual braces?
The significant advantages of lingual braces are
- They effectively and efficiently correct most bite issues.
- Lingual braces are nearly virtually invisible.
- You can customize them to maximize their efficiency and minimize the level of discomfort.
Conclusion
The above-provided information helps us in learning some valuable stuff regarding lingual braces. The above article also discusses the various beneficial factors and other informative details. For further exciting information regarding lingual braces, please check out ivanovortho.com.
Article Source : https://www.articleaffiliate.com/do-lingual-braces-cause-more-pain-or-discomfort-than-other-braces/
