views

What Are The Pros And Cons Of Teeth Veneers?
Everyone wishes to have good oral health so they can enjoy a wide variety of foods while also having a beautiful smile. But many people have had to deal with several dental issues at some point in their lives. Many people suffer from common dental problems that can be easily treated. Whereas some people suffer from severe dental problems like misaligned, broken, and crooked teeth. These serious dental issues cause a lot of problems for a person.
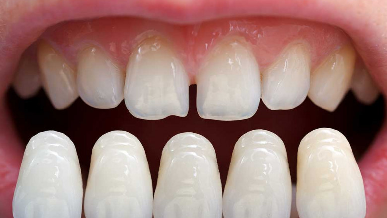
Dentists suggest that people with these types of difficulties experience problems chewing food. People suffering from dental irregularities have a variety of unattractive expressions like smiling or laughing. These prevent them from meeting people and attending gatherings. For those people now it is time to move on and get a beautiful smile with veneers. Many people must have heard about dental veneers. Dental veneers near me are thin tooth-colored shells that cover stained or discolored teeth.
This article will go through the pros and cons of veneers which might help you in treatment.
Pros of dental veneers:
Below mentioned factors are the pros of dental veneers such as:
Provide Teeth Whitening:
Not everyone is aware of the fact that drinking coffee, smoking cigarettes, or eating meals for years develops a lot of pigment and stains on your teeth. Stained teeth with a lot of pigmentation cause yellow or brown color of tooth enamel. The discoloration of tooth enamel is fixed at home using teeth whitening DIY kits. But still, some stains require specialist attention by a dentist for removing stains. In this situation, veneers play a mandatory role and provide you with teeth whitening that looks exactly like a natural tooth.
Fix Mild Problems:
Veneers can repair a variety of cosmetic dental problems, such as chipped, cracks, gaps between teeth, mild misalignment, or discoloration. Veneers are thin shells that are attached to the front surfaces of your teeth. The veneers promote modification of the position of teeth and they also help hide minor cosmetic dental issues. It is essential to know only you and your dentist will know about the placement of veneers. Many people tend to choose veneers as it is one of the best substitutes for orthodontic treatment. Your original teeth may still be gapped or misaligned, but no one except you and your dentist will notice.
Remove Damaged Enamel
We have found from studies that the tooth enamel consists of tough material, but it can also be harmed. You should always remember excessive tooth brushing can wear down your enamel, and acidic foods and drinks can damage it. Studies have shown that stomach acid destroys your teeth's enamel. It is crucial to know that lost enamel does not grow back. Whereas damaged enamel can be replaced.
Cons of dental veneers:
Below mentioned factors are the pros of dental veneers such as:
Expensive
The cost of veneers differs depending on where you live. But it is essential to consider other factors in your cost of veneers including your dentist fee and the number of teeth you want to be restored. Veneers cost per tooth is frequently costly. A single veneer costs roughly $1,300, and you should know that these veneers are not generally covered by insurance.
Increase tooth sensitivity
After obtaining veneers, some people notice an increase in tooth sensitivity. You may experience sensitivity to hot or cold temperatures for the first few days after your surgery this normally passes. Tooth sensitivity is irritating, but it may be managed with the correct products.
Is the cost of veneers for teeth cheaper than implants?
It is essential for dental implants Houston is more expensive than veneers. The cost of dental implants near me ranges from $1100 to $1300. Whereasveneers cost somewhere between $925 and $2,500.
Takeaway!
We hope you liked this article and now you know the product pros and cons of veneers. If you are one of the people looking for a dentist then you can visit our website as we have the best dental specialists to help.
Article Source : https://www.articleapprove.com/what-are-the-pros-and-cons-of-teeth-veneers/