views

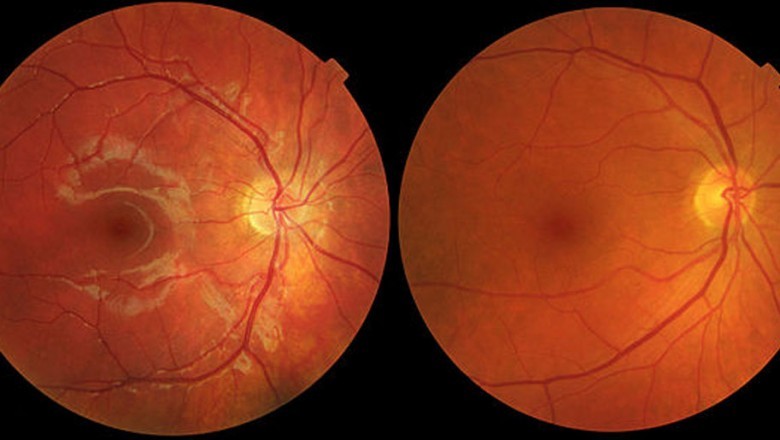
Macular Degeneration is otherwise called AMD or ARMD. This condition happens when the cells answerable for making proteins that are liable for vision side-effects are harmed. This makes it hard to measure and see things unmistakably. As macular degeneration advances, typical, clear vision (seen left), slowly gets debilitated by and large dimness experienced in the focal bit of the eye. With progressing macular degeneration, normally, a vulnerable side for the most part frames in the focal point of the visual field (seen right). Around 1.5 million individuals in the U.K. have AMD
Age-related macular degeneration affects millions of people every year. It is more common in people who are overweight and who are older. Some research indicates that there may be a genetic link to this problem. So far, there has been no proven treatment for this condition. Another condition that experts believe may be responsible for causing macular degeneration and related vision impairments is dogaracts. Dogs can develop dry AMD and dogs can also develop wet AMD. Dry AMD usually does not cause pain to the dog and there are medications available to treat it. Wet AMD, on the other hand, can be painful and can lead to blindness if treatment is not started early enough.
Some other research indicates that there may be other risk factors for developing macular degeneration and other vision impairments. One such factor is the presence of too much nitrogen in the urine. This may delay the onset of the disease. Other risk factors include being male, being over 40 years old, having a family member who had the disease, having bad eyesight, and having yellow eyes. Women who were smokers or men who used tobacco products are at an increased risk for the development of this disease. Recently, in the U.S., a drug was used for AMD, which was found to be effective in the treatment of Parkinson’s disease.
Read More @ https://coherentmarketinsights-market.blogspot.com/2021/03/age-related-macular-degeneration_51.html