views
One of the essential factors for patients is the cost of full mouth veneer. This is because veneers are a cosmetic procedure, and insurance companies won’t cover it. You need to pay for dental veneer treatment, which may impact your decision-making process. Therefore you should visit a dental veneers specialist before choosing a treatment, and they will help you with other dental procedures.

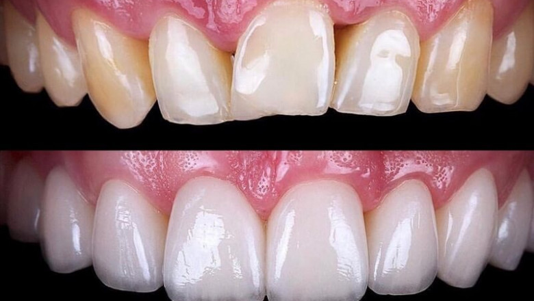
What Are full mouth Dental veneers?
Veneers are tooth-shaped shells that your dentist puts over your natural teeth. Moreover, these veneers are very easy to design and advanced features and give you the most natural fit possible.
Your dentist aims to achieve the perfect tooth shape and natural colored look and gives you a set of veneers that will match your color. Also, they are referred to as Hollywood smile procedures because they provide brighter, stained-free smiles. Most patients can opt for how many veneers they need. For instance, if your tooth gets chipped during trauma, that may affect only a single tooth, and even you can get one veneer.
But for a Hollywood smile, you need full-mouth veneers. Also, people think full mouth veneers mean you need one for each tooth. But veneers don’t fit your molars, so you get eight veneers on your front teeth. Additionally, a cosmetic dentistry clinic Houston may suggest crowns for molars and remaining teeths.
Veneers Procedure
For dental veneers, first, your dentist will start with a thorough diagnosis of your whole mouth to ensure that your teeth are in good shape and infection-free. The presence of cavities, inflammation and other dental problems can become more severe under your veneers. After this, your dentist will use digital scans and X-rays to understand and detect any underlying issues with your bones.
After examination, your dentist reshapes your teeth to place veneers on your teeth. And takes an impression of your teeth and then sends them to a dental laboratory, where a technician will fabricate a series of veneers. In between this, they will place temporary veneers until the permanent veneers come.
After 2-3 weeks, they will apply veneers with the help of dental cement, and you will get brighter and large teeth that will enhance your personality.

How long do full-mouth veneers last?
With reasonable precautions, including good dental practices such as brushing and flossing your teeth at least twice daily. While you can eat anything, you need some reasonable precautions because dental veneers can’t be stained or discolored. Because porcelain veneers are made from glass that can only shatter with excessive pressure.
Since veneers can last ten years or more, also they’re a long-term investment as they give you a perfect smile and brighten your teeth. Many people found that value to be worth the cost.
Conclusion:
If you feel less confident due to misalignments, decays, chipping, discoloration, or gaps between your teeth, you should consider visiting cosmetic dentistry Houston to learn more about dental veneer treatment; also, that will help provide you tension free smile.
Article Source : https://www.worldofarticles.com/what-should-you-consider-from-full-mouth-veneers/
