views

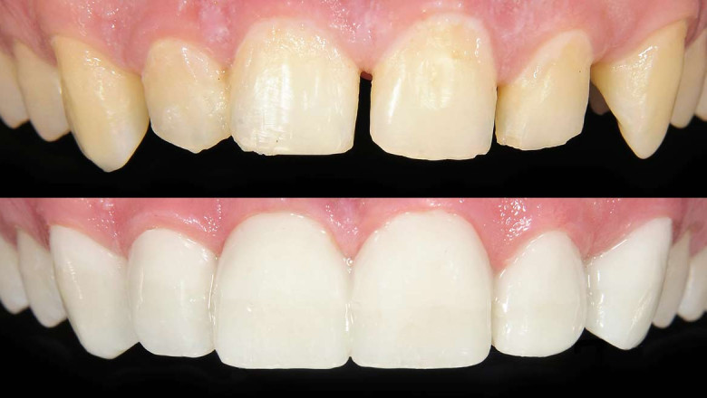
To repair damage to one or more of your teeth, your dentist may perform a treatment known as tooth bonding. Compared to other cosmetic dental operations like crowns and veneers, dental bonding Miami is a far more affordable option, making it a cost-effective choice. More straightforward than other cosmetic dental procedures is tooth bonding.
Since this process is so straightforward, it rarely necessitates anesthesia and only requires one visit to the dentist. Your dentist Miami shores use a shade guide to select a composite resin hue that resembles the shade of your natural teeth at the beginning of the treatment. Your dentist first roughens the tooth's surface before applying a liquid that makes the bonding agent stick to the tooth.
In addition to molding or shaping the tooth with the composite resin over the liquid, your dentist will also use ultraviolet light to solidify the material. If additional shaping is required, your Miami shores dentist can do so once the resin has dried and become solid.
Why do people need dental bonding?
Tooth bonding can be used to correct an issue with a tooth. Bonding can occasionally be used to repair a tooth that is damaged, rotting, or discolored. This method also aids in closing minor gaps between teeth. Additionally, dental bonding might make a tooth bigger. For instance, if one teeth is shorter than the rest, you might want them all to be the same length.
According to orthodontist Hallandale fl, the bonding process is quick and doesn't involve any downtime. If anesthetic is not required, you can continue your regular daily activities after the surgery. Tooth bonding generally takes 30 to 60 minutes. Depending on how long the process is, some appointments may take longer.
Are there any severe complications and risks in teeth bonding?
Bonding in the mouth has no substantial risks. Remember that the composite resin in this procedure isn't as durable as your natural teeth. Your natural tooth could shatter or lose its bond with the filling. A crown, veneer, or filling won't usually chip or break.
Your bonded tooth may chip if you bite your fingernails, chew on pens or pencils, consume ice, or bite into hard foods or candies. Additionally, the resin has less stain resistance than other dental materials. If you use smoke or consume a lot of tea or coffee, you might notice a discoloration.
What are the advantageous factors of dental bonding?
One of the easy, simple, and most affordable cosmetic dental procedures is gluing teeth. They may typically complete Bonding in a single office visit unless it involves multiple teeth. Unlike veneers and crowns, they create customizable tooth coverings in a lab. Another benefit is the least amount of tooth enamel removed compared to veneers and crowns. Anesthesia is typically unnecessary for dental bonding unless done to fill a cavity.
Conclusion
We hope the above-given information will give you valuable insight into dental bonding. The above article highlights the various aspects and details regarding dental bonding. For more informative facts, please visit ivanovortho.com.
Article Source : https://www.mybusinessmusings.com/what-exactly-is-a-dental-bonding-procedure/