views

What would you do if you noticed bleeding from your teeth and gums when brushing and flossing? These are classic gum disease symptoms indicating you are affected by a significant problem. Instead of wasting your time thinking about it, you must rush to the periodontist in Park Ridge IL, seeking a remedy to prevent the condition from progressing.
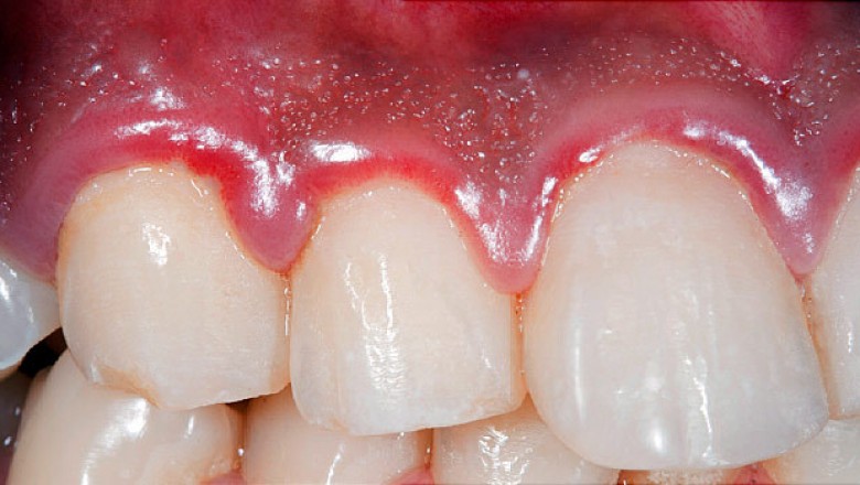
Gum disease affects 70 percent of adults in the United States and is a leading cause of tooth loss. Suppose you notice gum disease symptoms like bleeding when brushing and flossing, you will undoubtedly also have swollen and reddish gums besides experiencing pain when eating and chewing. You may wonder what the problem is and why it is affecting you. However, the reasons are straightforward and do not extend beyond your daily oral hygiene practices.
Gum disease develops when you allow plaque buildup to accumulate on your teeth by not brushing and flossing appropriately recommended by dentists. You probably believe the dentist’s recommendations are not worth following and have developed your routine for cleaning your teeth. Unfortunately, the onset of gum disease must convince you that whatever pattern you are following must change immediately without further delay.
If you are extremely busy throughout the day and cannot schedule appointments with your dentist, rest assured you have a dentist open on Saturday in Park Ridge willing to provide treatment for gum disease or any other condition affecting you. You can schedule an appointment with the dentist over the weekend to understand why you are affected by periodontal disease.
The dentist merely needs a casual view of your mouth to determine gum disease is affecting you because you are not maintaining good oral hygiene or even visiting your dentist for six-monthly cleanings and exams, which would have identified gum disease much earlier. As you decided to contact this dentist soon as you noticed the symptoms, the dentist starts your treatment immediately by giving you a deep cleaning, which involves scaling and root planning. The plaque buildup you allowed to accumulate on your teeth would have extended below the comment and hardened to ensure the removal is only possible by a professional dentist or hygienist. If your condition hasn’t advanced severely, the dentist helps you reverse the situation with appropriate treatment.
Image Taken From : WebMD
The success of any treatment you receive for gum disease requires your involvement because the treatment by itself will not succeed until you participate in the oral hygiene regimen recommended by the dentist.
As a victim of gum disease must understand the reasons why the infection affected you and must adopt preventive measures to control or eliminate the condition from your mouth. You may require conservative treatments from your dentist to reverse the situation if your gums haven’t receded to expose the tooth roots. However, if you have progressive periodontal disease, you may need expensive surgical procedures to repair the gum recession and eliminate the bacteria accumulated in the pockets.
Maintaining proper oral hygiene is the best remedy against periodontal disease. Even after you begin periodontal treatment, it is incredibly essential for you to practice brushing and flossing habits diligently as recommended by the dentist. You must include six-monthly results to the dentist for exams and cleanings to ensure you are doing an excellent job cleaning your teeth and disallowing plaque buildup to develop into periodontal disease. You can find our dentist on the web.