511
views
views
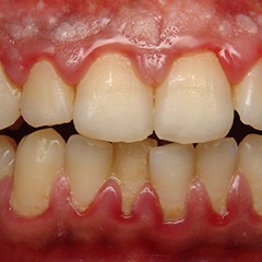
Gingivitis is inflammation of the gum where it meets the crown of the tooth. If unchecked, it will progress to periodontitis, which leads to tooth loss. Periodontitis is the leading cause of tooth loss globally. Emergency Dental Service provides 24 Hour Emergency Dentists in Gilbert and emergency patient support to take care of your emergency dental problems. For more information, contact us at 480-877-0237.
