501
views
views

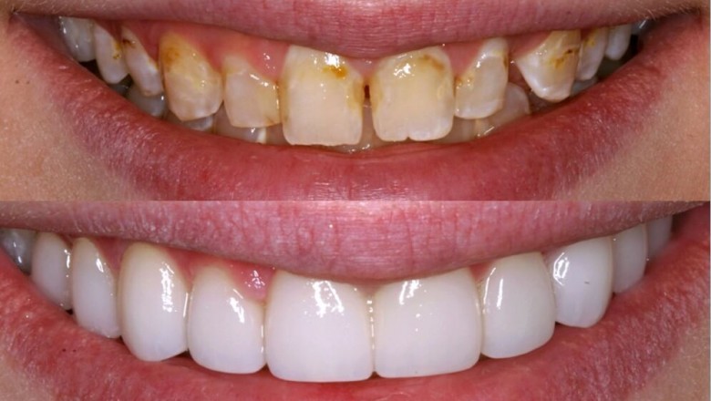
Biggest benefits of porcelain veneers is the fact that they can so highly customized that they’re often indistinguishable from your healthy teeth.
Porcelain Veneers Treatment in Prosper TX
Check Now - Porcelain Veneers Treatment in Prosper TX