Tag: gingivoplasty with laser
Gingivoplasty Using Diode Laser
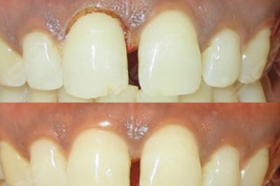
An excessive display of gingiva resulting from a high lip line and abnormal gingival overgrowth often complicates treatment planning and can compromise the final esthetic result. Gingival morphology is being considered as an important factor in smile desi...
0
0
0
6 Nov, 11:01 AM