Tag: Gingival Depigmentation
Gingival Depigmentation with Dental Lasers for Management of Gingival Hyperpigmentation
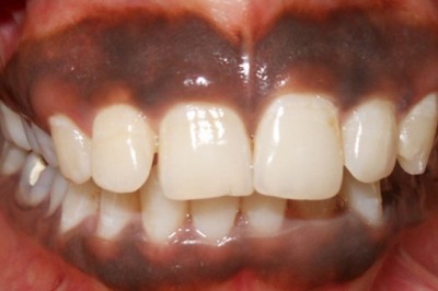
Gingival hyperpigmentation is a common esthetical concern in patients with gummy smile or excessive gingival display. It is an overproduction of melanin, beyond the normal expected degree in the oral mucosa, induced by various causes.
0
0
0
9 Oct, 03:35 AM