When you start searching for the best dentist near me, you will be overwhelmed with the countless number of dentists. So it could be difficult to choose a dentist the best one.
Justin Lai DDS, a family and cosmetic dentist in Houston, is committed to offering comprehensive, quality dental care for the whole family in a relaxed environment. Find a best dentist and dental clinic near me in Houston and book an appointment in our de...
What Causes Tooth Infection? Tooth infection is result of bacterial infection can lead to dangerous oral health problems. Most of tooth infections are caused by a cracked tooth or an untreated tooth decay.
A root canal is a treatment used to repair and save a tooth that is badly decayed or becomes infected. If Your tooth is decayed or has been damaged down to the root, we can use root canal therapy to save the tooth. If you think you need a root canal, cons...
Crown lengthening surgery has the capability of minimizing the amount of visible gum when you are smiling. Contact us today by calling (281) 940-8940 to book an appointment with our experienced dentists in Houston
Dentures are custom-made appliances that replace missing teeth.
Having a healthy set of teeth might be more important to your overall health than you might think. A broken or damaged tooth can be extremely painful and precarious and can prevent you from doing simple daily tasks, like talking properly and being able to...
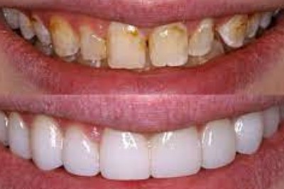
Porcelain Veneers have been helpful in perking up the smile of an individual. A professional dentist would be able to do this with ease and dexterity. Fixing chipped or cracked teeth, cleaning the stubborn stains on the teeth, filling gaps in teeth, givin...
A bruxism mouth guard is a tool used to protect the teeth of people suffering from bruxism – teeth grinding. It is also regarded as one of the sleep disorders.
A dental veneer is a term used to describe a special type of thin tooth-like shell that is made of special materials such as ceramic that can be applied over the surface of cracked or chipped teeth. which may ruin the aesthetics of a person's oral cavity...
What to Avoid Eating With a Crown? With dental crown there various precautions patient should to taken such as Avoid chewy or sticky foods, hard foods, foods that are extremely cold or hot and more.
General dentists are not licensed to administer sedation dentistry, only the Best Dentist in Houston are trained and licensed to do that. Read on to learn more.
A dental crown also called a “tooth cap”, is a tooth-shaped cap that is placed over that damaged portion of the tooth to restore it to its original shape and appearance. A crown is also fitted onto the dental implant in order to replace a missing or broke...
For individuals who take pride in a beautiful, sparkling white smile, porcelain veneers are an increasingly appealing option. Since porcelain veneers have gotten less expensive and more common in the past couple of years, more and more people are explorin...
Everyone wants brighter, yellow free white teeth, various methods for teeth whitening recommended by dentist including Teeth Whitening Products, At-Home Teeth Whitening Kit, In-Office Teeth Whitening Method and more.