2,261
views
views
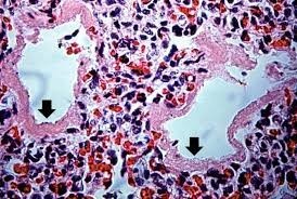
Neonatal respiratory distress syndrome is also called surfactant deficiency disorder. Neonatal respiratory distress syndrome occurs in pre-mature infants due to insufficient development of pulmonary surfactant or structural immaturity of the lungs.
