2,507
views
views
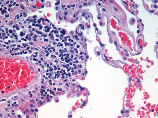
Histology and cytology involves examining design of tissues and cells separately regularly at the minute level, and the investigation incorporates the two creatures and plants. Throughout the long term, there is gigantic job of histological and cytological assessments for indicative assessment of wide range of infections including tumors.
